
Without
Protoctists you wouldn't see Plants, Animals or Fungi


You would not be here as well.
The Blepharisma is a common ciliate found in most any pond. If it lives in bright sunlit ponds it is usually colorless. When exposed to an intense artificial light, the pink pigment emits a poisonous toxin that completely disintegrates the creature.

Algal toxins are poisonous
to humans and can kill you.
You can get these by eating
shellfish.
Only buy from reliable suppliers of seafood.
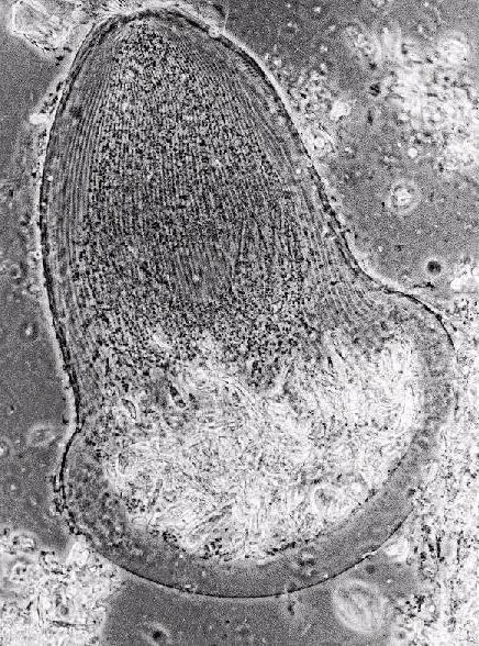
Trichonympha ampla has
a symbiotic relationship with termites aiding them in digesting cellulose
which allows termites to eat wood.

The light patch at the bottom is
Termites looking for love.
T. ampla at work in termite gut.