Valente, V.L.S., C. Rohde, V.H. Valiati, N.B. Morales, and B. Goñi. 2001. Chromosome inversions occurring in Uruguayan populations of Drosophila willistoni.. Dros. Inf. Serv. 84: 55-59.

Next HTML file
PDF file

Chromosome inversions occurring in Uruguayan populations of Drosophila willistoni.

 

Valente1, V.L.S., C. Rohde1, V.H. Valiati1,2, N.B. Morales1, and B. Goñi3.  1Departamento de Genética, Instituto de Biociências, Universidade Federal do Rio Grande do Sul. Caixa Postal 15053. CEP 91501-970. Porto Alegre, RS, Brazil. E-mail: vera.gaiesky@ufrgs.br. 2 Laboratório de Biologia Molecular, Centro de Ciências da Saúde, Universidade do Vale do Rio dos Sinos. Caixa Postal 275. CEP 93022-000 São Leopoldo, RS, Brazil. 3Sección Genética Evolutiva, Instituto de Biologia, Facultad de Ciencias, Universidad de la Republica, Iguá 4225, Montevideo 11400, Uruguay. E-mail:bgoni@fcien.edu.uy.

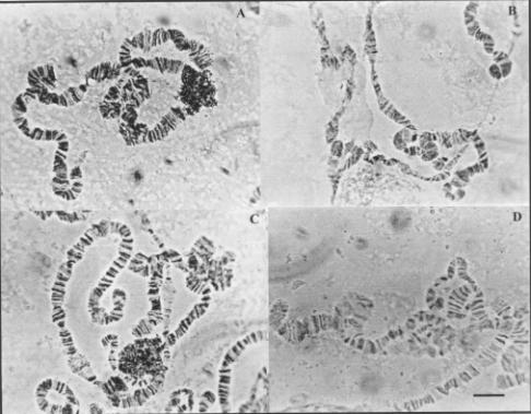
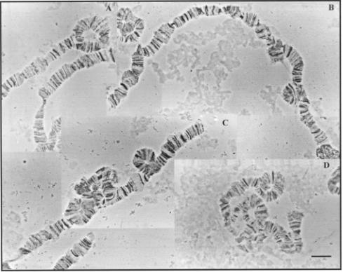
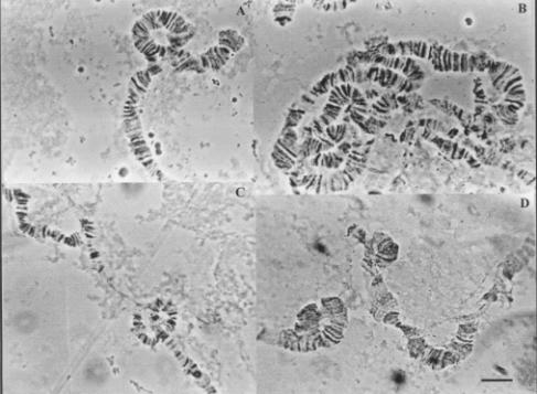
Reports of Drosophila willistoni in several localities of Uruguay (Goñi et al., 1997, 1998), near to the southern limit of the geographical distribution of the species (Spassky et al., 1971) moved us to investigate the putative paucity of gene arrangements reported for this species in their borders (Townsend, 1952;  Da Cunha et al., 1950, 1959), as well as the occurrence of novel or unique gene arrangements.  Only a register exists of the chromosome inversion polymorphism of D. willistoni in this Country, from the locality of Melo city, Northeast Uruguay, reported by Da Cunha and Dobzhansky (1954).  The present report aims to start the characterization of the chromosome inversion polymorphism of D. willistoni populations from Uruguay.  Samples of natural populations of D. willistoni were obatined at nine collecting sites (three sites in the Capital Montevideo: 34o 48’S; 56o 11’W) and one in each of the following localities:  Santa Lucia del Este, Canelones (34o 50’S; 56o 15’W);  Cerro El Toro, Maldonado (34o 45’ S; 55o  14’W);  Boca del Sarandi, Rocha (33o 58’S; 53o 43’W);  Sauce de Cebollatí, Lavalleja (33o45’S; 54o33’W); Tacuarembó, Tacuarembó (31o 41’S; 55o 59’W);  and Arroyo Gajo de Lunarejo, Rivera (31o 06’S; 56o 00’W), in Uruguay.  The flies were obtained as adults  around conventional banana baits and/or as adults emerging from rotten fruits of Syagrus romazoffiana, Gingko biloba, Doryalis caffra, Butia capitata, and Citrus sinensis.  Third instar larvae of isofemale lines of each sample were dissected and processed according to Ashburner  (1967).   All  samples  were  chromosomally  polymorphic  for  paracentric inversions.  In contrast to the situation that occurs in D. willistoni populations of the neighbouring Brazilian Southern State Rio Grande do Sul (Valente and Morales, 1985;  Valente et al., 1993), both arms of the X chromosome are polymorphic.  In this chromosome, we observed 4 inversions, being two in the left arm (XL) (Figure 1a,c) and two in the right chromosomal arm (XR) (Figure 1b,d).  In the autosomal IIL (the left arm of the second chromosome), a complex arrangement (D+E), also common in Brazil, plus 5 single inversions were detected (Figure 2).  Four  single heterozygous inversions were detected in the right arm of the second chromosome (IIR) (Figure 3)Uruguayan populations of D. willistoni, and six were found in the third acrocentric chromosome (III) (Figure 4).  It is interesting to note the inversion III N, that seems to be endemic from Uruguay, was only reported previously in a single larva in the sample from Melo city by Da Cunha and Dobzhansky (1954).  The XR B1 inversion also appears to be endemic from Uruguay, and there are no previous registers of its occurrence in other natural populations.  The first results suggest that in the Uruguayan populations, several inversions still segregate, despite the fact that they need to face an environment very different from  those  found in the  putative center of the  species dispersion - Central Brazil  (Da Cunha  et al., 1950).  The uniqueness of certain arrangements and of the Uruguayan populations of D. willistoni deserves to be further studied.

Figure 1.  Heterozygous inversions of the X chromosome of D. willistoni populations from Uruguay.  (a) XL POA 3;  (b) XR E;  (c) XL A;  (d) XR B1.  Bar = 10 mm.

Figure 2.  Heterozygous inversions of chromosome arm IIL of D. willistoni populations from Uruguay.  (a) IIL H;  (b) IIL I and IIL B;  (c) IIL F and IIL D+E;  (d) IIL H, IIL  D+E and IIL A. Bar =10 µm.

Figure 3.  Heterozygous inversions of the chromosome arm IIR of D. willistoni populations from Uruguay.  (a) IIR B;  (b) IIR C;  (c) IIR I;  (d) IIR G. Bar = 10 mm.

Figure 4.  Heterozygous inversions of the chromosome III of D. willistoni populations from Uruguay.  (a) III J and III B;  (b) III J;  (c) III J and III C;  (d) III N;  (e) III J+V1;  (f) III M. Bar =10 mm.

Acknowledgments:  CSIC (Uruguay); CNPq, FAPERGS, PROPESQ-UFRGS (Brazil).

            References:   Ashburner, M., 1967, Chromosoma 27: 47-63;  Da Cunha, A.B., H. Burla, and Th. Dobzhansky 1950, Evolution 4: 212-235;  Da Cunha, A.B., and Th. Dobzhansky 1954, Evolution  8: 119-134;  Da Cunha, A.B., Th. Dobzhansky, O. Pavlovsky, and B. Spassky 1959, Evolution 13: 389-404;  Goñi, B., M.E. Martínez, and P. Daguer 1997, Revta. Bras. Ent. 41: 89-93;  Goñi, B., M.E. Martínez, V.L.S. Valente, and C.R. Vilela 1998, Revta. Bras. Ent. 42: 131-140;  Spassky, B., R.C. Richmond, S. Pérez-Salas, O. Pavlovsky, C.A. Mourão, A.S. Hunter, H. Hoenigsberg, Th. Dobzhansky, and F.J. Ayala 1971, Evolution 25: 129-143;  Townsend, J.I., 1952, Evolution 6: 428-442;  Valente, V.L.S., and N.B. Morales 1985, Revta. Bras. Genet. 8: 167-173;  Valente, V.L.S., A. Ruszczyk, and R.A. dos Santos 1993, Revta. Bras. Genet. 16: 307-319.